Corkscrew Esophagus Is Seen in Which of Following Condition
Upper Endoscopy Shows Corkscrew Esophagus Download Scientific Diagram
Mortility Disorder Of Oesophagus
Corkscrew Esophagus Request Pdf
Corkscrew Oesophagus A Rare Cause Of Dysphagia Eurorad
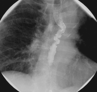
Diffuse Esophageal Spasm Corkscrew Esophagus The American Journal Of Medicine
Corkscrew Esophagus Radiology Case Radiopaedia Org
Diffuse Esophageal Spasm Wikiwand
Esophageal Stricture Differential Diagnosis Wikidoc
Diffuse Esophageal Spasm Wikiwand
Corkscrew Esophagus Radiology Case Radiopaedia Org
Diffuse Esophageal Spasm Des Creative Med Doses
Manometry Shows Diffuse Esophageal Spasm In Patient With Normal Download Scientific Diagram
Corkscrew Esophagus Consultant360
Corkscrew Esophagus In Achalasia An 83 Year Old Woman Presented To The Gastroenterology Clinic With Dysphagia And Regurgitation That Occurred With Every Meal In Association With Postprandial Chest Pain R Medizzy
Corkscrew Oesophagus A Rare Cause Of Dysphagia Eurorad
Diffuse Esophageal Spasm Cirugia Espanola English Edition
Science Evidence Is Intelligence S Ei Medical Week An 87 Year Old Swiss Woman Who Suffered Painful Spasms In Her Chest Turned Out To Have An Esophagus That Twisted Itself Into A Corkscrew Shape

Comments
Post a Comment